Alanında bölgenin en büyük üç fuarından biri olan 15’inci İstanbul Ağız-Diş Sağlığı Cihaz ve Malzemeleri Fuarı (IDEX İstanbul), 12-15 Nisan 2018 tarihleri arasında CNR Expo Yeşilköy’de düzenlenecek. Dev etkinlikte Avrupa, Orta Doğu, Afrika, Bağımsız Devletler Topluluğu, Balkan Ülkeleri’nin de aralarında bulunduğu 60 ülkeden gelecek alım heyetleri ağırlanacak.
GC, geçen yıl olduğu gibi bu yıl da uluslararası üst düzey konuşmacıları Bridging Dentistry İstanbul Sempozyumu ile sizlerle buluşturuyor. Sempozyumda dünya standartlarındaki konuşmacılarının sıra dışı sunumlarının yanı sıra çeşitli kurs alternatifleri de sizleri bekliyor olacak.
İngiltere'deki bilim insanları diş hekimi koltuğundaki insanlara sanal gerçeklik gözlüğü takmanın bu kişilerin diş ameliyatı sırasındaki stres seviyesini azalttığını ortaya çıkardı. Environment and Behaviour Jornal'da yayınlanan araştırmaya göre bu yöntem bazı kişilerin diş hekimi korkusunun üstünden gelmek için bile kullanılabilir.
Türk Dişhekimleri Birliği Genel Başkanı Ali Rıza İlker Cebeci, Ürün Takip Sistemi (ÜTS) ile ilgili, "Hem Türkiye'ye getirmiş olanlar hem de kullanıcı olan bizler ürünü sisteme gireceğiz. Çift kontrol yapılacak. Böylece artık ürünler ilgili birimlerin izni ile mi geliyor, yoksa kaçak mı giriyor çok rahat anlaşılabilecek." dedi. Cebeci, Samsun Yelken Kulüp'te düzenlenen "Karadeniz Geleneksel 13. Bahar Sempozyumu"nun açılışında, ağızda adi malın kullanımının önüne geçmek amacıyla Türkiye İlaç ve Tıbbi Cihaz Kurumunca yönetmelik yayımladığını söyledi.
İstanbul Kemerburgaz Üniversitesi Diş Hekimliği Fakültesi Ortodonti Anabilim Dalı Öğretim Üyesi Prof. Dr. Sayınsu, artık herkesin cebinde bir kamera taşıdığını ve bu nedenle gülüş dizaynı için diş hekimlerine başvuranların arttığını açıkladı ve şunları söyledi: Eskiden sadece ünlüler kamera karşısındaydı, dolayısıyla sadece ünlüler gülüşleriyle alakalı isteklerde bulunuyorlardı. Bugün ise hepimizin cebinde birer kamera var. İstediğimiz her yerde istediğimiz zaman kendi fotoğrafımızı ya da 'selfie'mizi çekebiliyoruz.
Ülkemizde sayısı hızla artan Diş Hekimliği Fakültelerine bir yenisi daha eklendi. Tekirdağ'da bulunan Namık Kemal Üniversitesi'nden yapılan yazılı açıklamada, Diş Hekimliği Fakültesinin kurulmasıyla üniversitede fakülte sayısının 10'a çıktığı belirtildi.
Dentsem │Diş hekimliği Sürekli Eğitim Merkezi tarafından organize edilen Yumuşak Doku Cerrahisi Kursu’nda eğitmen olarak bilgi ve birikimlerini katılımcılarla paylaşan ve özellikle periodontolji ve implantoloji alanında verdiği eğitimlerle adından sıkça söz ettiren, bu alanda Türkiye’nin sayılı eğitmenleri arasında yer alan
Diş hekimi Dr. Aylin Sezen Yalçın, Fenerbahçe'nin Brezilyalı futbolcusu Cristian Baroni ile keyifli bir sohbet gerçekleştirdi. Bir süredir diş tedavisi için gidip geldiği klinikte sıcak dostluklar kuran Baroni, diş hekiminin sorularını içtenlikle yanıtladı. 10 yaşından beri futbol oynadığını belirten Baroni, İstanbul’da yaşamaktan büyük keyif
Kısa vadeli hedeflerinin sarf malzeme ağırlıklı ürün portföylerini cihaz ağırlıklı olarak güçlendirmek ve cihaz pazarında bir yer edinmek olarak açıklayan Gülsa Tıbbi Cihazlar ve Malzeme San. Tic. A.Ş. Genel Müdürü Barış Haznedaroğlu ile Gülsa’daki çalışmalarından sektörün geleceğine ilişkin görüşlerine kadar pek çok konuya yönelik sorularımızı
Son dönemde yaptığı çalışmalarda adından sıkça söz ettiren ve Trabzon Beşikdüzü’nde açtıkları fabrika ile de gündeme oturan AGS Medikal’in kurucusu ve Genel Direktörü Görkem Serçe, yurt dışına bağımlılığı azaltıp, ihracat yaparak ülkemize gelir sağlamayı amaçladıklarını belirtiyor.
Son yıllarda pek çok alanda olduğu gibi diş hekimliği alanında da önemli ilerlemeler kaydediliyor. Özellikle kullanımı hızla yaygınlaşan implant konusunda Türkiye önemli ithalatçı ülkelerden biri konumunda. İmplantKA’nın üretimi ile Türkiye’nin implant ithalatçısı konumundan implant ihracatçısı konumuna yükselmesinde önemli bir katkı sunacaklarını belirten
DENTSEM | Diş Hekimliğinde Sürekli Eğitim Merkezi’nin organize ettiği Uygulamalı Lazer Eğitimi ve Uygulamalı Temel İmplant Eğitimi’nde bilgilerini katılımcılarla paylaşacak olan Marmara Üniversitesi Diş Hekimliği Fakültesi Ağız Diş Çene Cerrahisi Anabilim Dalı Öğretim Üyesi Prof. Dr. Cem Şener ile son dönemde yaptığı çalışmaların yanı
Prof. Dr. Filiz Yalçın Çakır
Prof. Dr. L. Şebnem Türkün
Prof. Dr. Sevil Gürgan
Diş hekimliğinin temel amacı; sağlıklı diş dokularının korunması ve kayıp dokuların tekrar kazandırılmasıdır. Sağlam diş dokularını koruma yönündeki konservatif yaklaşımlar, geleneksel kavite preparasyonu ile karşılaşılan problemleri ortadan kaldıracak daha konservatif yöntem arayışını da beraberinde getirmiştir. Prof. Dr. L. Şebnem Türkün
Prof. Dr. Sevil Gürgan
Dr. Xavier Goodarzian
Kimyasal peeling ve diğer birçok tedavinin yanı sıra botulinum toksin tip-A ( Botox® gibi) dermal dolgular (Restylane®, Juvederm Ultra®, Stylage®, Teosyal® vs. gibi) ile cerrahi olmayan cilt tedavileri bugün itibariyle çok popüler olup ve dünya çapında belirsiz ekonomik duruma rağmen bu
Doç. Dr. Zekai Yaman
Piezoelektrik prensipler uyarınca olusturdukları ultrasonik vibrasyon vasıtasıyla kemik kesisi yapabilen aygıtlar pratikte piezoelektrik aygıtlar (piezocerrahi) olarak adlandırılmaktadır. Piezoelektrik aygıtlar, dental implantoloji başta olmak üzere ağız ve çene cerrahisi, plastik cerrahi, kulak burun
Piezoelektrik prensipler uyarınca olusturdukları ultrasonik vibrasyon vasıtasıyla kemik kesisi yapabilen aygıtlar pratikte piezoelektrik aygıtlar (piezocerrahi) olarak adlandırılmaktadır. Piezoelektrik aygıtlar, dental implantoloji başta olmak üzere ağız ve çene cerrahisi, plastik cerrahi, kulak burun
Dt. Ali H. Özoğlu
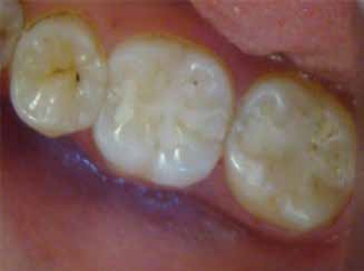
Yüksek teknoloji ile üretilen ve hekime çok sayıda renk seçenegi sunan kompozit rezinler sayesinde minimal invaziv restorasyonlar ile maksimum estetik elde edebilmek mümkün olabilmektedir. 25 yasındaki erkek hasta sağ üst kanin dişinin görünümünden sikayetçi olarak klinigimize geldi.
Yüksek teknoloji ile üretilen ve hekime çok sayıda renk seçenegi sunan kompozit rezinler sayesinde minimal invaziv restorasyonlar ile maksimum estetik elde edebilmek mümkün olabilmektedir. 25 yasındaki erkek hasta sağ üst kanin dişinin görünümünden sikayetçi olarak klinigimize geldi.
Prof. Dr. Sevil Gürgan
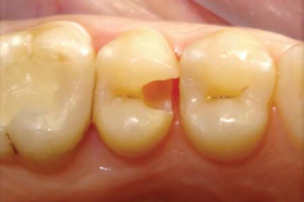
Günümüzde, posterior bölge dişlerinin restorasyonu amalgam, kompozit rezinler, cam iyonomer simanlar veya indirekt olarak; altın, kompozit ve seramik inley-onleylerle gerçekleştirilmektedir. Amalgamın olumsuz özellikleri, estetik diş hekimliğinde ve restoratif
Günümüzde, posterior bölge dişlerinin restorasyonu amalgam, kompozit rezinler, cam iyonomer simanlar veya indirekt olarak; altın, kompozit ve seramik inley-onleylerle gerçekleştirilmektedir. Amalgamın olumsuz özellikleri, estetik diş hekimliğinde ve restoratif
Dr. Betül İLHAN, Prof. Dr. Hülya ÇANKAYA, Prof. Dr. Pelin GÜNERİ
Ağız boşluğu ve farenkste en sık karşılaşılan malignansi, her yıl yaklaşık 350,000 kişide belirlenen ve dünyada 68,000 kişinin ölümüne neden olan (1) skuamöz hücreli karsinomadır (2,3).
Ağız boşluğu ve farenkste en sık karşılaşılan malignansi, her yıl yaklaşık 350,000 kişide belirlenen ve dünyada 68,000 kişinin ölümüne neden olan (1) skuamöz hücreli karsinomadır (2,3).
SEKTÖRDE NELER VAR
Geçmişten bugüne ağız ve diş sağlığı alanında kullanılan malzemelerin yer aldığı Diş Sağlığı Müzesi vatandaşların ziyaretine açıldı. Müze hakkında konuşan Diş Malzemeleri Sanayici ve İş Adamları Derneği (DIŞSİAD) Başkanı Erkan Uçar, "Burası dünyada alanında 8'inci, bölgemizde ve Türkiye'de ilk olarak hazırlanmış diş sağlığı müzesi.
Amerika’nın en çok satan medikal giyim markası “Cherokee Uniforms” yaklaşık 1 yıl önce Türk sağlık profesyonellerinin beğenisine sunuldu. Bu süre zarfında büyük ilgi gören marka, Türkiye’de bulunmayan üst segment medikal giyim ürünleri açısından bir ilk olma özelliği taşıyor. Çok kaliteli kesim ve dikime sahip olmasının yanı sıra innovatif kumaşlar kullanmayı tercih eden Cherokee, aynı şeyleri giymekten sıkılmış sağlık çalışanları için iyi bir alternatif olacak.
Her türlü başlık, kavitron el parçası ve uçları için geliştirilmiş dezenfeksiyon cihazı Clevo, herhangi bir motor veya hareketli bir parça ihtiva etmiyor. Yüzde 99,9 güvenirlilikte patogenik bakterilerin dezenfekte edilebildiği Clevo cihazı klinikte herhangi bir yerde kullanılabiliyor.
Saeyang firmasının son ürünlerinden biri de Endo e Class endodontik motoru. Devir sayısı 20 ile 17,500 arasındaki cihazın kutusu üzerindeki tuşlar yardımıyla çalışma modu, hız ve tork ayarları yapabilmenin yanı sıra program seçimi ve kullanılacak angıldruvanın tipi de seçilebiliyor.
Ölçü alımı, restoratif çalışmalar, kron ve köprü işlemleri sırasında, en iyi sonucu alabilmek için kanamayı durdaran %15,5 Demir Sülfat içerikli kan durdurucu jeldir. Çalışma zamanını kısaltır. Kit İçeriği: 1 adet 30 ml şırınga, 20 adet 1,2 ml boş şırınga, 20 adet Stat-Flo uygulama uçları, 20 adet Docking Port
Hızlı ve etkin kaşık temizliği sağlayan PakMan Clean aljinat ve alçı kaşık temizleyici, ultrasonik yıkama makinesi ile kullanılabiliyor. PakMan Clean aljinat ve alçı kalıntılarını spatül, ölçü kaşığı ve diğer materyallerden kolayca temizlemek için kullanılıyor.
Doğal sığır kemiğinden yapılmış greft malzesi olan Compactbone B., güvenilir, saf ve doğal bir kemik malzemesidir. Mineral bileşimi ve hidrofilik yapısı sayesinde insan kemiği özelliklerine benziyor. İmmün sistem reaksiyonlarını engelleyen ürün, BSE-free ve protein içermiyor. Rezorpsiyon süresi 180 gün olan ürünün, 500-1000 ve 1000-2000 micron partikül boyutları bulunuyor.
Direkt restorasyonlarda kullanım için tek aşamalı adeziv Clearfil™ S³Bond Plus, ile asit, primer ve bonding işlemleri tek aşamada aynı likit ile yapılabiliyor. İdeal bonding performansı korunarak uygulama süresi kısaltılmış ve kullanımı kolaylaştırılmış olan Clearfil™ S³Bond Plus, uygulama sırasında düşük pulpal basınç hassasiyeti gösteriyor.
Tayvan merkezli Bonart firmasının en son piyasaya sürdüğü ürünlerden birisi de ART-IM1 Implantor implant motoru (fizyodispenser) cihazıdır. Akıllı ve güçlü bir cihaz olan ART-IM1 dişhekimine implant uygulamalarında büyük kolaylıklar sunuyor. Dokunmatik ekranı yardımıyla her türlü fonksiyon değişimi kolaylıkla yapılabilen cihazın devir sayısı 600 ile 40,000 arasında değişiyor.































