Dentsem │Diş Hekimliği Sürekli Eğitim Merkezi, 2 günlük çok kapsamlı bir kompozit eğitimini daha diş hekimlerinin ilgisine sunuyor. Restoratif diş tedavisi alanında Türkiye’nin önde gelen isimlerinden biri olan, bu alanda verdiği onlarca kurs ve sunumun yanı sıra yayınlanmış pek çok makalesi de bulunan Diş Hekimi Ali H. Özoğlu tarafından verilecek eğitim, 30 Kasım – 1 Aralık 2013 tarihlerinde İstanbul’da gerçekleştirilecek.
Eğitmen: Ali H. Özoğlu
Tarih: 30 Kasım – 1 Aralık 2013
Yer: İstanbul
Eğitimin konu başlıkları
- Tabakalama tekniği ile yapılan estetik kompozit restorasyonların detayları ve incelikleri
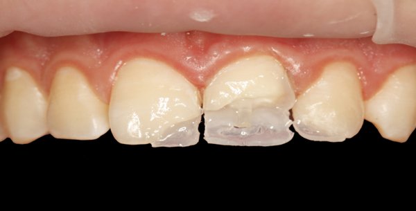
- Kırık diş nasıl restore edilebilir sorusunun cevabı
- Direk kompozit lamina uygulamaları
- Arayüz restorasyonlarında başarının sırrı
- Preparasyonda dikkat edilmesi gereken noktalar
- Kompozit tercihleri
- Asit gerçekten gerekli mi?
- Estetik uygulamalarda matriks seçenekleri ve kullanım detayları, vakaya özel matriks ve silikon anahtar uygulamaları
- Tabakalama tekniğinin püf noktaları: Mine rengi, dentin rengi ve şeffaf özellikli kompozitlerin tabakalamadaki yerleri
- Fırça özel spatuller gibi farklı el aletlerinin kullanımı
- İyi estetik ve kalıcı sonuçlar için bitirme ve cilalama ile ilgili özel aletlerin kullanımı ve püf noktaları
HANDS-ON: Demo modeller üzerinde uygulama
- Lamina , kırık restorasyonu, arayüz restorasyonu gibi farklı kavitelerde yapılan kompozit uygulama teknikleri
- Doğala özdeş restorasyon elde etmek için tabakalamanın nasıl yapılması gerektiğinin model dişler üzerinde uygulanarak gösterilmesi
- Polisaj aşamaları ve bu aşamalarda işimizi kolaylaştıracak özel aletlerin kullanım şekilleri
Fiyat: 750 TL
Bu fiyat ilk 5 kayıt için geçerli olan indirimli fiyattır. 5 kayıttan sonra fiyat 850 TL olacaktır.
Eğitim 20 kişi ile sınırlandırılmıştır.
Fiyata Dahil Olan Hizmetler: 2 günlük uygulamalı kurs / Cihazlar, sarf malzemleri ve dokumanlar / Çay-kahve ikramları / Öğle yemekleri/ Sertifika
Katkılarından dolayı teşekkür ederiz.
.jpg)
|